Kako mlečni zobje napovedujejo položaj stalnih zob in razvoj čeljusti
Zakaj se razvoj čeljusti začne že v prvih štirih letih življenja
in zakaj to pogosto opazimo šele, ko začnejo rasti stalni zobje
»Ampak saj takrat še nima stalnih zob – zakaj bi bilo to sploh pomembno?«
To je zelo pogosto vprašanje staršev in povsem razumljivo razmišljanje.
Res je, da se stalni zobje pojavijo šele okoli šestega ali sedmega leta starosti. Manj znano pa je dejstvo, da se prostor, smer in biomehanika za te zobe začnejo oblikovati veliko prej, pogosto že v prvih letih življenja, ko otrok še hodi s plenico.
Razvoj čeljusti ni nekaj, kar se začne z izrastom stalnih zob. Takrat vidimo posledice. Osnova pa je postavljena že veliko prej.
V tem zapisu pojasnimo, zakaj so prva štiri leta ključna za razvoj čeljusti, od česa je ta razvoj najbolj odvisen in kako lahko po tretjem letu starosti začnemo funkcijo nežno in učinkovito podpirati.
Razvoj oblike čeljusti in vloga zgodnje funkcije
Ena ključnih stvari, ki jih je pri razvoju zob in čeljusti pomembno razumeti, je, da zobje ne rastejo ločeno od okolja, v katerem se razvijajo. Položaj in oblika čeljusti pomembno vplivata na to, kam in kako bodo zobje kasneje izrasli. Razvoj čeljusti je tesno povezan s funkcijo – z načinom dihanja, položajem jezika v mirovanju, požiranjem ter uporabo ustnic. Prav v zgodnjem otroštvu, ko so ti vzorci še zelo plastični, ima čeljust največ možnosti za rast in prilagajanje. To obdobje ne predstavlja le hranjenja, temveč tudi pomembno nevrološko in mehansko stimulacijo, ki sodeluje pri oblikovanju kosti obraza.
Kdaj nastanejo zametki stalnih zob?
Zametki stalnih zob začnejo nastajati zelo zgodaj, že v obdobju nosečnosti, nato pa se v prvih letih življenja postopno razvijajo. Stalni zgornji sekalci so prisotni že v zgodnjem otroštvu in ležijo visoko v čeljusti, obdani s kostjo, ki se v tem času še aktivno oblikuje in preoblikuje. To pomeni, da otrok že zelo zgodaj – skozi vsakodnevno funkcijo, kot so dihanje, položaj jezika in oralna aktivnost – soustvarja pogoje, v katerih bodo stalni zobje kasneje izraščali. Zgodnja funkcija tako ne določa vsega, ima pa pomembno vlogo pri usmerjanju nadaljnjega razvoja.
Znaki nepravilnega razvoja so pogosto vidni že pri mlečnih zobeh
Znaki neustreznega razvoja se pogosto pokažejo že pri mlečnih zobeh, vendar jih velikokrat spregledamo ali razumemo kot nekaj prehodnega. Pri veliko otrocih so mlečni zobje zelo skupaj, včasih celo rastejo nekoliko navznoter. Drugje opazimo, da so sprednji zobje potisnjeni naprej ali da se pojavlja odprt griz.
Hkrati se lahko začne kazati tudi sprememba rasti obraza. Namesto da bi se obrazne kosti razvijale v širino, se rast pogosto začne pomikati navzdol. To so zgodnji znaki, da čeljust ne dobi optimalne notranje opore jezika in da funkcija dihanja, požiranja ali položaja ust v mirovanju ni uravnotežena. Mlečni zobje so zato pogosto prvi opozorilni signal, da razvoj poteka v manj ugodni smeri.



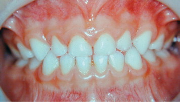
Na zgornjih slikah je lepo vidna razlika med ustrezno in manj ugodno razporejenimi mlečnimi zobmi. Pri optimalnem razvoju so mlečni zobje rahlo razmaknjeni – približno toliko, da bi med njimi lahko stal kovanec za en cent – kar pomeni, da čeljust nudi dovolj prostora za nadaljnji razvoj.
Dihanje na usta – osrednji problem nepravilnega razvoja?
Pri večini otrok z opisanim nepravilnim razvojem ima ključno vlogo dihanje na usta. Ne kot občasna izjema, temveč kot ponavljajoč se ali kroničen vzorec – ponoči, ob utrujenosti, med boleznijo ali celo podnevi.
Dihanje na usta ima neposreden vpliv na razvoj čeljusti, saj se ob njem:
- jezik umakne z neba in pade nižje ali naprej,
- zgornja čeljust izgubi notranjo oporo,
- rast se preusmeri navzdol namesto v širino.
Pomembno pa je razumeti, da dihanje na usta ni vedno zgolj posledica zamašenega nosu. Zelo pogosto je povezano tudi z nereguliranim živčnim sistemom. Otroci z nizkim vagalnim tonusom, zgodnjimi težavami s hranjenjem, slabim sesanjem ali zgodnjimi stresnimi obremenitvami pogosto ne vzpostavijo stabilnega vzorca nosnega dihanja, tudi ko nos ni fizično zaprt.
V teh primerih dihanje na usta postane del regulacijskega vzorca, ne le mehanski odziv na oviro v nosu.
Kaj vodi v ta vzorec že zelo zgodaj?
Nepravilni razvoj čeljusti in kasnejše dihanje na usta se redko pojavita brez predhodnih dejavnikov. Najpogosteje gre za kombinacijo več zgodnjih vplivov.
Pogosti dejavniki so:
- pomanjkanje ali krajše obdobje dojenja,
- šibek sesalni refleks ali slabo hranjenje,
- dolgotrajna uporaba dude,
- zgodnje težave z regulacijo živčnega sistema,
- pogoste okužbe, refluks ali preobčutljivosti.
Ti dejavniki sami po sebi niso nujno problematični, vendar v kombinaciji in ob daljšem trajanju pomembno vplivajo na položaj jezika, tonus ustnic in vzorec dihanja. Sčasoma se oblikuje struktura, ki dihanje na usta še dodatno podpira, kar ustvari začaran krog med funkcijo in obliko.
Dudo je dobro ukiniti do enega leta starosti
Dolgotrajna uporaba dude ima pri razvoju čeljusti pomembno vlogo, predvsem zato, ker neposredno vpliva na položaj jezika. Duda jezik potiska navzdol in naprej ter mu onemogoča, da bi bil v stiku z nebom, kjer bi sicer deloval kot notranja opora zgornji čeljusti.
Namesto aktivnega dela jezika dobimo pasivno sesanje, pri katerem čeljust in obrazne kosti ne prejmejo ustrezne stimulacije. Zato se duda še posebej negativno odraža pri otrocih, ki niso dolgo dojili ali so imeli že v osnovi šibkejši sesalni refleks. V takih primerih duda pogosto utrdi neustrezen položaj jezika in podaljša razvojni vzorec, ki čeljust vodi v ožjo ali manj ugodno obliko. Prav zato se v strokovni praksi priporoča, da se duda postopno ukine približno do prvega leta starosti, ko otrok že lahko vzpostavi bolj zrele vzorce hranjenja in oralne funkcije.
Zakaj težave pogosto opazimo šele pri stalnih zobeh?
Mlečni zobje so manjši, kost je mehkejša in otrok dolgo časa kompenzira. Ko pa začnejo izraščati večji stalni zobje, prostora pogosto ni več dovolj. Takrat opazimo potisk zob naprej, gnečo ali druge ortodontske nepravilnosti.
Težava se zdi nova, v resnici pa ima korenine v zgodnjem razvoju in dolgotrajnem dihanju na usta.
Kaj lahko naredimo po tretjem letu starosti?
Čeprav prvih let ne moremo zavrteti nazaj, lahko funkcijo začnemo popravljati. Ključno je, da podpremo pravilen položaj jezika v mirovanju, zapiranje ust in stabilno nosno dihanje že od rojstva dalje.
Od tretjega leta dalje so zelo koristni pripomočki, ki delujejo pasivno in ne zahtevajo aktivnega sodelovanja otroka. Eden takšnih je FroggyMouth, ki pomaga vzpostavljati ustrezen položaj ust in jezika v mirovanju in je zato zelo primeren za mlajše otroke, saj se uporablja samo 15 minut na dan. (Primeri drugih: Myobrace, Myosa, Vacuum up trainer ipd)
Od približno četrtega leta starosti lahko to podporo po potrebi dopolnimo tudi z Myotape nosnimi obliži, ki otroku nežno pomagajo vzpostavljati in ohranjati nosno dihanje, zlasti ponoči ali ob obdobjih pogostejših okužb.
Pomembno pa je razumeti, da noben pripomoček ne deluje sam zase. Vedno je del širšega pristopa, ki vključuje dihanje, držo, umirjanje živčnega sistema in po potrebi individualno obravnavo.
Zakaj priporočilo »počakajmo do 11. ali 12. leta« še ne pomeni, da prej ni smiselna nobena podpora
Veliko staršev v obdobju okoli 6.–8. leta prejme podobno pojasnilo: za klasičen ortodontski aparat je še prezgodaj in smiselno je počakati, da izraste večina stalnih zob, pogosto do 11. ali 12. leta. V klasičnem ortodontskem smislu je to povsem razumljivo in strokovno utemeljeno priporočilo. Ugriz se v tem obdobju še spreminja, zobje izraščajo postopno in fiksni aparat pogosto res ni prva izbira.
Pomembno pa je razlikovati med ortodontskim zdravljenjem zob in razvojnimi pogoji, v katerih zobje izraščajo. Ko starši v tem obdobju opazijo, da stalni zobje izraščajo še pred izpadom mlečnih, da se pomikajo nazaj, se obračajo ali iščejo prostor, to pogosto kaže na omejen prostor v čeljusti. V takih primerih zobje sami po sebi niso problem, temveč odražajo pogoje, v katerih rastejo.
Razvoj čeljusti je v veliki meri povezan z dihanjem, položajem jezika v mirovanju in splošno funkcijo orofacialnega področja. Posegi, kot so sprostitev podjezične vezi ali priraščene ustnice, so lahko zelo pomemben del obravnave in pogosto prispevajo k izboljšanju govora ali gibljivosti jezika. Vendar pa sami po sebi še ne zagotovijo stabilnega nosnega dihanja ali ustreznega položaja jezika v vsakdanjem mirovanju, kar sta ključna dejavnika za rast čeljusti.
Starost okoli 7. leta je še vedno obdobje, ko lahko s funkcionalno in razvojno podporo pozitivno vplivamo na pogoje rasti. Ne gre za poravnavo zob s klasičnim aparatom, temveč za podporo nosnemu dihanju, zapiranju ust in vzpostavljanju bolj optimalne oralne funkcije. Tak pristop ne nadomešča ortodontskega zdravljenja, temveč ga lahko v določenih primerih smiselno dopolnjuje in olajša.
Seveda zgodnja podpora ne pomeni, da ortodontski aparat kasneje ne bo potreben. Pomeni pa, da lahko do takrat izboljšamo izhodišča, v katerih bodo stalni zobje izraščali, in v nekaterih primerih zmanjšamo obseg, trajanje ali zahtevnost kasnejše ortodontske obravnave. Popolno čakanje brez kakršnekoli podpore je prav tako odločitev – vendar takšna, pri kateri se razvojni vzorci pogosto le utrjujejo.
Koliko genetika v resnici vpliva na obliko čeljusti?
Genetika ima pri obliki čeljusti vlogo, vendar bistveno manjšo, kot večina ljudi misli. Geni določajo osnovni potencial – velikost kosti, širino obraza, rastni vzorec – ne določajo pa končne oblike čeljusti. Ta se v praksi oblikuje predvsem skozi funkcijo: način dihanja (nos ali usta), položaj jezika, žvečenje, požiranje in mišični tonus obraza v zgodnjem otroštvu.
Zelo dober dokaz za to so enojajčni dvojčki. Če bi genetika odločilno določala obliko čeljusti, bi imeli enojajčni dvojčki enake obraze in enake čeljusti. V resnici pa pogosto vidimo, da ima eden ožjo čeljust, križni ugriz ali več gneče zob, drugi pa ne – kljub popolnoma enakemu genetskemu zapisu. Razlika nastane zaradi drugačnega dihanja, pogostosti bolezni, uporabe dude, načina hranjenja, drže jezika ali kronično odprtih ust.
Zato pri razvoju čeljusti genetika ni usoda, temveč okvir. Ključno vlogo ima okolje in vsakodnevni vzorci, ki delujejo na kosti in mišice v času, ko se obraz še oblikuje. Ravno zato lahko s pravočasnim vplivom na dihanje, ustno zapiranje in funkcijo jezika razvoj čeljusti usmerjamo – tudi če je otrok genetsko bolj občutljiv.
BONUS poglavje: Kako bi rast čeljusti in zob razložil dr. Jack Kruse – nevrokirurg in zobozdravnik
Če bi na razvoj čeljusti, mlečnih in stalnih zob pogledali skozi perspektivo dr. Jacka Krusea, bi se razlaga precej oddaljila od klasične zobozdravstvene ali ortodontske razlage. Ne zato, ker bi mehanske dejavnike zanikal, temveč zato, ker bi jih postavil v sekundarno vlogo. Po njegovem so zobje in čeljust vedno odraz globljih procesov v telesu – predvsem delovanja možganskega debla, avtonomnega živčnega sistema in energijskega stanja organizma.
Kruse pogosto poudarja, da telo ne raste optimalno v stanju stalne pripravljenosti na nevarnost. Če je otrok že zelo zgodaj v simpatikusu, v stresnem načinu delovanja, telo preide v varčevalni režim. V takem stanju se rast ne usmerja v širino, temveč v preživetje. Čeljust v teh pogojih ne dobi signala, da je okolje varno in da si lahko »privošči« rast. Kot sam večkrat pove:
“You don’t grow bone well when your nervous system thinks survival is the priority.”
V tem kontekstu ima dihanje na usta posebno težo. Po Kruseu ni zgolj mehanska navada ali posledica zamašenega nosu, temveč močan informacijski signal telesu. Dihanje na usta pomeni manj dušikovega oksida iz nosu, slabšo oksigenacijo možganskega debla in slabšo regulacijo vagusa. Telo to bere kot znak ogroženosti. Ko otrok diha na usta, organizem prejme sporočilo, da ni varno rasti, temveč je treba varčevati. Kruse to zelo neposredno povzame:
“Breathing tells your brain whether it is safe to grow or not.”
Ko starši slišijo priporočilo, naj se do dvanajstega leta »počaka«, bi Kruse verjetno opozoril, da čakanje brez spremembe okolja skoraj zagotavlja, da se razvoj ne bo bistveno spremenil. Sam pogosto poudarja, da pravi »aparat« za obraz ni v ustih, ampak v okolju. Jutranja naravna svetloba, omejevanje umetne svetlobe zvečer, stabilno nosno dihanje, stik z naravo in dobra regulacija živčnega sistema so po njegovem temelji, brez katerih ne moremo pričakovati optimalne rasti obraza in čeljusti.
Če bi njegovo sporočilo strnili v en stavek, bi se glasilo:
“You don’t fix faces in the mouth. You fix them in the brain and mitochondria.”
To poglavje ne nadomešča ortodontije, temveč dodaja širši kontekst. Pojasni, zakaj se pri nekaterih otrocih kljub čakanju in kasnejšim aparatom težave ponavljajo, pri drugih pa se ob pravočasni podpori razvoj bistveno izboljša že prej.
Zaključek – zakaj je zgodnje razumevanje pomembno
Mlečni zobje niso le prehodna faza, temveč zgodnji pokazatelj razvoja čeljusti in pogojev, v katerih bodo kasneje izraščali stalni zobje. Razmiki, gneča ali spremembe rasti obraza niso naključni, temveč pogosto odražajo funkcijo – predvsem položaj jezika v mirovanju, način dihanja in splošno regulacijo živčnega sistema.
Razvoj poteka postopno in v več fazah, zato ima tudi zgodnje obdobje veliko težo. Z vidika preventive lahko v tem času podpremo osnovne funkcije, kot so nosno dihanje, zapiranje ust in bolj uravnotežena oralna funkcija, kar vpliva na pogoje, v katerih se razvoj nadaljuje.
Na Vadbeni kliniki otroka obravnavamo celostno in po potrebi sodelujemo tudi z zobozdravniki, ortodonti, logopedi ter drugimi strokovnjaki. S poudarkom na razumevanju funkcije in uporabo preprostih, otroku prijaznih pripomočkov, kot sta Froggy Mouth, Myosa in Myotape, pomagamo ustvarjati boljše izhodiščne pogoje za razvoj. Razvoj stalnih zob se namreč začne veliko prej – v funkciji, ki jo lahko pravočasno prepoznamo in podpremo.
Ne gre za medicinsko znanje ali nadomeščanje strokovne obravnave, temveč za razumevanje osnovnih funkcij, kot so dihanje, položaj jezika in požiranje – stvari, ki bi jih bilo smiselno poznati že na ravni vsakdanjega življenja, v dobro lastnega zdravja in zdravega razvoja otrok. Prav zaradi tega se na nas pogosto obračajo tudi zobozdravniki in ortodonti, saj v sodelovanju in z dopolnjevanjem pristopov najlažje ustvarjamo pogoje za najlepše in najbolj trajne rezultate.
S predanostjo napisala Alja Malis, specialistka za gibanje, dihanje in kvantni življenjski slog
Vsebina na tem blogu je namenjena izključno informativnim in izobraževalnim namenom. Objave odražajo osebno strokovno mnenje avtorice ter povzemajo aktualne raziskave, izkušnje iz prakse in splošna spoznanja s področja zdravja, razvoja, nevroznanosti, gibanja, prehrane in dobrega počutja. Prispevki ne predstavljajo zdravstvenega nasveta, diagnoze ali zdravljenja ter ne morejo nadomestiti posveta z zdravnikom ali drugim ustrezno usposobljenim zdravstvenim strokovnjakom. Vsak posameznik je edinstven, zato se lahko odzivi na opisane pristope razlikujejo. Pred kakršnimi koli spremembami življenjskega sloga, prehrane, vadbe, uporabe pripomočkov ali dopolnil se posvetujte s svojim zdravnikom, zlasti v primeru: kroničnih ali nevroloških bolezni, poškodb (vključno s poškodbami možganov), nosečnosti, zdravljenja z zdravili, otrok in mladostnikov.Avtorica bloga ne prevzema odgovornosti za morebitne posledice, ki bi nastale zaradi uporabe informacij brez strokovnega nadzora.


























